Heliox associado à ventilação não invasiva na hiperreatividade brônquica refratária do lactente: relato de caso
Heliox associated with non-invasive ventilation in refractory bronchial hyperreactivity in infants: case report
Cássio Daniel Araújo da Silva1, Bruna Luzia da Silva Peixoto Magno1, Larissa dos Santos Guarany1, Giovanna Novaes Andreaza1, Danielle Fortuna de Almeida2, Ana Paula Fernandes Moreira1, Laila de Moraes Silva1, Patrícia Vieira Fernandes1
¹Hospital Rios D’or, Rio de Janeiro, RJ, Brasil
²Maternidade Leila Diniz, Rio de Janeiro, RJ, Brasil
Recebido em: 17 de Julho de 2025; Aceito em: 22 de Agosto de 2025.
Correspondência: Cássio Daniel Araújo da Silva, cd.danielsilva@gmail.com
Como citar
Silva CDA, Magno BLSP, Guarany LS, Andreaza GN, Almeida DF, Moreira APF, Silva LM, Fernandes PV. Heliox associado à ventilação não invasiva na hiperreatividade brônquica refratária do lactente: relato de caso. Fisioter Bras. 2025;26(4):2379-2387. doi:10.62827/fb.v26i4.1081
Introdução: A mistura terapêutica dos gases hélio + oxigênio, conhecida como Heliox (He/O2), é descrita há muitos anos com o objetivo de reduzir a resistência das vias aéreas e o trabalho ventilatório em quaisquer condições obstrutivas de fluxo aéreo, contudo, carece de evidências. Objetivo: Descreveu-se um caso de utilização do heliox associado à ventilação não invasiva (VNI) em um lactente com hiperreatividade brônquica refratária. Métodos: Relato de caso. Lactente sibilante do sexo masculino, deu entrada na unidade em uso da cânula nasal de alto fluxo (CNAF), em vigência de desconforto respiratório grave e ausculta pulmonar (AP) com intensa estertoração e sibilância. Recebeu terapia de resgate e sulfato de magnésio, mantendo o quadro inicial, e foi adaptado à VNI. Após novo resgate com broncodilatador e 120 minutos totais em VNI, a persistência do padrão levou a equipe optar por adaptar a VNI com Heliox visando evitar a intubação orotraqueal. Assim, foi observada melhora progressiva dos parâmetros respiratórios e da ausculta pulmonar, iniciando o desmame da VNI em 24hs. Totalizaram-se dessa forma 4 dias em uso de VNI e 8 dias de internação hospitalar, sendo reencaminhado para o acompanhamento ambulatorial. Conclusão: A associação do heliox com a ventilação mecânica nas doenças obstrutivas é uma terapia promissora e pode se tornar uma opção para o resgate ventilatório em crianças que não respondem ao tratamento convencional. Como demonstrado, essa abordagem parece eficaz e segura para evitar a intubação orotraqueal, sem efeitos adversos ou rebote após a suspensão da terapia.
Palavras-chave: Oxigenoterapia; Hélio; Unidades de Terapia Intensiva Pediátrica.
Introduction: The therapeutic mixture of helium and oxygen gases, known as Heliox (He/O2), has been described for many years with the aim of reducing airway resistance and ventilatory work in any obstructive airflow conditions. However, evidence is lacking. Objective: A case of heliox use associated with noninvasive ventilation (NIV) in an infant with refractory bronchial hyperreactivity is described. Methods: Case report. A wheezing male infant was admitted to the unit using high-flow nasal cannula (HFNC) in the presence of severe respiratory distress and lung auscultation (PA) with intense rales and wheezing. He received rescue therapy and magnesium sulfate, maintaining the initial condition, and was adapted to NIV. After another bronchodilator rescue and 120 minutes of NIV, the persistent pattern led the team to adapt NIV with Heliox to avoid orotracheal intubation. Progressive improvement in respiratory parameters and lung auscultation was observed, initiating NIV weaning within 24 hours. The patient spent 4 days on NIV and 8 days in hospital, and was then referred for outpatient follow-up. Conclusion: The combination of Heliox with mechanical ventilation in obstructive pulmonary disease is a promising therapy and may become an option for ventilatory rescue in children who do not respond to conventional treatment. As demonstrated, this approach appears effective and safe in avoiding orotracheal intubation, with no adverse effects or rebound after discontinuation of therapy.
Keywords: Oxygen Inhalation Therapies; Helium; Intensive Care Units.
Doenças que cursam com hiperreatividade brônquica estão entre as principais causas de internação em emergências e unidades de terapia intensiva (UTI) pediátricas, em especial nos lactentes sibilantes e/ou naqueles com fatores de risco respiratório [1,2]. De acordo com dados disponíveis no Departamento de Informática do Sistema Único de Saúde (DATASUS), no período de 2013 a 2022, a pneumonia foi a causa mais prevalente de internação, seguida pela asma, e, posteriormente, pela bronquite aguda e bronquiolite viral aguda [3].
Para além do escopo da saúde pública, esses dados refletem o impacto que as características anatômicas e funcionais dos lactentes podem ter no desenvolvimento e agravamento de doenças respiratórias. Fatores como o menor calibre das vias aéreas nos primeiros anos de vida, maior resistência ao fluxo aéreo, caixa torácica mais complacente, pobre ventilação colateral, entre outros, sabidamente desfavorecem a biomecânica ventilatória. Além disso, em vigência de um processo inflamatório, tornam-se mais exuberantes e comprometem a ventilação, predispondo a distúrbios obstrutivos com ampla necessidade de suporte ventilatório; dessa forma, a sibilância se torna uma característica frequente nessa população [1,2].
Nestes casos, inúmeras terapêuticas podem ser empregadas de forma adjunta para evitar a falência respiratória, como a ventilação não invasiva associada à broncodilatação das vias aéreas, a corticoterapia inalatória, e a associação da mistura gasosa hélio-oxigênio na ventilação, conhecida como heliox (He/O2) [4,5]. O hélio, um gás nobre, é inerte, incolor e inodoro, e possui uma densidade três vezes menor que a do ar ambiente ou do oxigênio puro. Essa baixa densidade do gás pode transformar um fluxo aéreo turbulento em um fluxo laminar e, com isso, reduzir a resistência nas vias aéreas, levando à diminuição do trabalho respiratório [6-8].
Alguns autores [6,9] afirmam que a utilização do heliox também pode contribuir na otimização da troca gasosa, sobretudo da ventilação alveolar, com maior eliminação de CO2 e maior eficácia da terapêutica broncodilatadora; em tese, esse efeito se daria pelo aumento direto da difusibilidade, atingindo as vias aéreas de menor calibre como um gás “condutor”. Na pediatria, especificamente, sua indicação é sugerida nas inúmeras condições que cursam com obstrução das vias aéreas, como asma e bronquiolite, podendo ser empregado ainda em quaisquer situações pulmonares ou extrapulmonares que cursam com alta resistência ao fluxo aéreo [9,10].
Embora não existam atualmente diretrizes e/ou guidelines sobre a utilização do heliox associado à ventilação mecânica baseado em ensaios clínicos, tampouco seja uma terapia facilmente acessível do ponto de vista operacional/financeiro, diversos estudos corroboram seus benefícios e destacam a necessidade de se conhecer melhor as diversas formas de aplicação e resultados na utilização do recurso, a fim de aumentar sua segurança e eficácia [9,11,12]. Relatou-se um caso de uso do heliox associado à ventilação não invasiva (VNI) em um lactente com hiperreatividade brônquica refratária, seguindo um protocolo institucional.
Estudo do tipo relato de caso. Paciente E.F.S., sexo masculino, 1 ano e 5 meses, pesando 10,1kg, diagnóstico prévio de hiperreatividade brônquica em acompanhamento com pneumologista e em uso de clenil 100mcg 12/12h. Em 07/05/2024 apresentou dispneia, tosse e secreção nasal. Em 11/05/2024, houve piora do padrão respiratório, com escalonamento dos sintomas, o que levou a mãe a procurar atendimento de emergência. Ao exame físico estava taquipneico e apresentava desconforto respiratório, sendo adaptado à cânula nasal de alto fluxo (CNAF), mas não houve melhora após as medidas iniciais. Em razão disso, foi solicitada transferência externa para esta unidade. Ao chegar, apresentava taquipneia significativa, tiragem subcostal moderada a grave e, na ausculta pulmonar (AP) intensa estertoração e sibilância. Houve melhora parcial após fisioterapia respiratória, e o paciente foi acoplado novamente à cânula nasal de alto fluxo (CNAF). Foram prescritos Aerolin a cada 1 hora, Atrovent a cada 6 horas, Flixotide, hidratação venosa e Metilprednisolona a 2 mg/kg. Também foi indicada uma dose de Sulfato de Magnésio a 50 mg/kg.
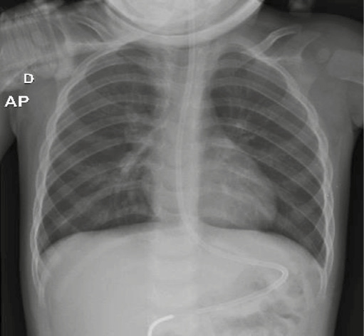
A radiografia de tórax inicial revelou padrão de hipersinsuflação pulmonar, sem consolidações ou opacidades sugestivas de pneumonia (Figura 1). Exames laboratoriais sem compatibilidade com infecção bacteriana, com painel viral rápido negativo. Apesar da terapêutica empregada, manteve quadro de taquipneia e taquicardia com desconforto respiratório moderado/grave (tiragem subcostal, intercostal e de fúrcula esternal, expiração ativa), AP rude com sibilância difusa, Glasgow 14, sem alterações hemodinâmicas.
Foi então adaptado à ventilação não invasiva (VNI) de resgate, na modalidade bipressórica via máscara full face tamanho small (S), com parâmetros ventilatórios mínimos (tabela 1), suficientes para gerar volume corrente (130ml). Foram adotados cuidados específicos para minimizar o índice de fuga, incluindo proteção facial com hidrocoloide e ajustes precisos na máscara, com verificações regulares.
Devido à agitação psicomotora, foi necessário o uso de contenção facilitada com auxílio da mãe e iniciar dexmedetomidina. Após a admissão na UTI, o lactente mantinha ausculta pulmonar rude, com discreta melhora do padrão respiratório na VNI - tiragem subcostal/intercostal, expiração ativa e FR 35 incursões. No entanto, a condição piorava significativamente durante episódios de choro, apresentando agitação psicomotora e difícil consolabilidade, mesmo em uso de sedação com dexmedetomidina. Após uma nova administração de broncodilatador e cerca de 120 minutos totais em VNI, a persistência de taquipneia, esforço e sibilância difusa levou a equipe a optar por adaptar a VNI com Heliox, conforme o protocolo institucional [13] (Figura 2).
Adaptadou-se cilindro de heliox na concentração 80/20 ao ventilador Servo-I®, utilizando o software adequado para a modalidade de VNI com pressão controlada e frequência de apoio. O broncodilatador foi administrado a cada 1 hora, resultando em um aumento progressivo do VC e possibilitando a redução dos parâmetros iniciais conforme tabela 1, além do espaçamento do broncodilatador após 12 horas de terapia. Nas primeiras duas horas, essa abordagem melhorou a entrada de ar e reduziu a sibilância difusa inicial para sibilância apenas na fase expiratória, mantendo leve tempo expiratório prolongado. O paciente permaneceu em VNI com heliox por 24 horas contínuas, passando a períodos progressivos com a cânula nasal de alto fluxo (CNAF) a partir de 15/05, e, em seguida, utilizando apenas o CNAF até 17/05/2024. O lactente recebeu alta em 19/05/2024, com orientações para seguimento das terapias à nível ambulatorial.
Figura 1 - Radiografia de tórax na admissão evidenciando padrão típico de hiperinsuflação.

Fonte: arquivo dos autores
Figura 2 – Protocolo institucional para utilização do Heliox associado à ventilação mecânica invasiva ou não invasiva
Fonte: Adaptado da referência 13. Legenda: Protocolo institucional para utilização do Heliox associado à ventilação mecânica invasiva ou não invasiva. B2 - broncodilatador; VNI – ventilação não invasiva; SWD – Score Wood-Downes; BQL – bronquiolite; NBZ – nebulização; VM – ventilação mecânica; VC – volume corrente; GSA – gasometria arterial; VMI – ventilação mecânica invasiva.
Tabela 1 – Comparação dos parâmetros ventilatórios pré e pós-instalação do heliox na VNI
|
Ppico |
Peep |
VTe |
FR |
FC |
SpO2 |
FiO2 |
Score Wood-Downes |
|
|
VNI pré heliox |
12 |
6 |
135 |
35 |
122 |
96 |
2l/min* |
7 |
|
Pós 60’ heliox |
8 |
3 |
136 |
28 |
115 |
98 |
30% |
6 |
|
Pós 6h heliox |
8 |
3 |
170 |
25 |
112 |
98 |
30% |
5 |
Legenda: Comparação dos parâmetros ventilatórios pré e pós instalação do Heliox na VNI. VNI – ventilação não invasiva; Ppico – pressão de pico; Peep – pressão positiva expiratória final; VTe – volume corrente exalado; FR – frequência respiratória; FC – frequência cardíaca; SpO2 – saturação periférica de oxigênio; FiO2 – fração inspirada de oxigênio.
Quando utilizados de forma associada, o heliox tem efeitos complementares à VNI: enquanto a pressão positiva reduz a carga de trabalho dos músculos respiratórios, previne ou corrige atelectasias, previne também o colapso das vias aéreas e promove a distribuição do heliox através das vias obstruídas, o heliox por sua vez tende a reduzir ainda mais o trabalho respiratório e melhorar a eliminação de CO2, além de reduzir o risco de barotrauma por aprisionamento de ar [13,14]. Efeitos secundários da terapia combinada ajudam a reduzir a necessidade da fração inspirada de oxigênio, permitindo maior pureza do gás hélio, e, consecutivamente, maior eficácia da terapia. Segundo estudos prévios, há maior eficácia para concentrações de hélio entre 60-80% [14], sendo a utilizada pelo estudo 80%.
Inúmeras evidências corroboram a associação da pressão positiva com o Heliox: Nascimento MS et al., em seu protocolo institucional, incluíram pacientes com diagnóstico de broncoespasmo e/ou crise de sibilância que mantivessem score Wood-Downes ≥3 após 1 hora de tratamento convencional, excluindo aqueles hipoxêmicos e/ou que não responderam ao heliox em uma hora de terapia [12]; Martinón-Torres et al., em seu estudo randomizado crossover com 12 lactentes com diagnóstico de bronquiolite, constataram melhora significativa da SpO2 e do trabalho respiratório quando a ventilação mecânica não invasiva foi associada ao Heliox [14]; Por sua vez, Li X et al., que investigaram essa eficácia em prematuros com síndrome do desconforto respiratório, sugeriram que a VNI + Heliox pode ser eficaz na redução do tempo de ventilação e em uma maior eliminação de CO2 [15]. Por fim, Mayordomo-Colunga J et al., realizaram um estudo descritivo em oito crianças com bronquiolite para avaliar a eficácia do CPAP-He. Foram obtidas melhorias da frequência respiratória e frequência cardíaca e resultados variáveis na SatO2 transcutânea [16].
No presente relato, foi observada resposta clínica semelhante ao descrito pelos estudos acima, com redução do trabalho ventilatório, melhora dos sinais vitais e da pontuação no score Wood-Downes nas primeiras horas após o heliox ser instituído. Assim, não houve a necessidade de escalonamento do suporte ventilatório para a ventilação mecânica invasiva. No estudo de Martinón-Torres F et al., realizado de 1999 a 2010, apenas 1 (0,28%) de 352 pacientes com doença aguda moderada a grave tratados heliox sozinho ou em combinação com VNI necessitou de ventilação mecânica invasiva; os autores concluíram que a VNI com Heliox foi eficaz em atrasar ou até mesmo evitar a necessidade de intubação traqueal [14].
A respeito da modalidade ventilatória a ser utilizada durante o heliox, algumas evidências destacam a importância do controle do ciclo respiratório pelo ventilador, no sentido de assegurar tempos expiratórios suficientemente longos para um esvaziamento pulmonar adequado [17]. Apesar de este ser um desafio durante a ventilação não invasiva, onde o paciente mantém o drive preservado e oscila sua relação inspiração/expiração conforme o grau de obstrução ao fluxo aéreo, observamos no caso clínico redução importante da frequência respiratória após uma hora, e após duas horas da instalação do heliox, o que sugere a melhora da fase expiratória à medida que o ponto de igual pressão das vias aéreas foi deslocado no sentido proximal, reduzindo progressivamente a limitação ao fluxo, e possivelmente atuando na redução do aprisionamento aéreo e na eliminação do CO2.
Ainda em relação à mecânica pulmonar no lactente do caso clínico, a redução da resistência de vias aéreas foi refletida principalmente pela diminuição progressiva da Ppico e da PEEP, com aumento progressivo do volume corrente, além da redução na pontuação de gravidade pelo score Wood-Downes, a melhora na ausculta pulmonar e nos sinais vitais. Segundo Nascimento MS et al., [12], a utilização da mistura hélio-oxigênio deve ocorrer somente após 1 hora do início do tratamento medicamentoso convencional. No presente protocolo [13], a terapia é instituída após a realização de resgate com broncodilatador + instituição de VNI + novo resgate com broncodilatador + sulfato de magnésio, avaliados após a primeira hora. Assim, pode-se inferir que a melhora dos pacientes possivelmente está relacionada à introdução do heliox, e não somente ao efeito medicamentoso e/ou da pressão positiva por si só [15]. Contudo, para confirmar essa hipótese, seria necessário ensaio clínico randomizado com subgrupos heliox e sem heliox associado.
Apesar dos relatos promissores, há uma grande dificuldade em se estabelecer consensos sobre o uso do Heliox em crianças devido a diferença de critérios de inclusão, tempos de intervenção, tratamento ministrado e severidade da doença nos estudos conhecidos; além disso, por se tratar de um recurso de alto custo financeiro e que demanda recursos operacionais e treinamento constante da equipe assistencial, o presente protocolo foi desenvolvido com o objetivo de resgate ventilatório visando evitar a necessidade de instituição da ventilação mecânica invasiva. Independente dos critérios institucionais para inclusão e condução do heliox, é importante considerar fatores como a disponibilidade dos equipamentos necessários, o perfil clínico da unidade, e a expertise da equipe com a terapia.
A associação do heliox com a ventilação mecânica em casos de obstrução das vias aéreas é uma terapia promissora e pode se tornar uma opção valiosa para o resgate ventilatório em crianças e lactentes que não respondem ao tratamento convencional. Como demonstrado no caso, essa abordagem se mostrou eficaz e segura para evitar a intubação orotraqueal, sem efeitos adversos ou rebote após a suspensão da terapia.
Entretanto, algumas limitações devem ser consideradas. Um relato de caso não permite a generalização dos resultados para outros centros ou populações. Além disso, não foram coletadas gasometrias arteriais do lactente durante a ventilação não invasiva, o que poderia ter corroborado os efeitos da terapia nas trocas gasosas. O protocolo aqui descrito continua em uso na unidade, visando reunir um número maior de casos para validar os resultados apresentados neste caso clínico e, no futuro, aumentar a robustez das evidências sobre a qualidade, segurança e eficácia do heliox na população pediátrica.
Conflitos de Interesse
Os autores declaram não haver conflitos de interesse de qualquer natureza.
Fontes de Financiamento
Não houve financiamento.
Contribuição dos Autores
Concepção e desenho da pesquisa: da Silva CDA, Magno BLSP, Fernandes PV, Silva, LM; Análise e Interpretação dos dados: da Silva CDA, Magno BLSP, Guarany LS, Andreaza GN, de Almeida DF, Moreira APF; Redação do Manuscrito: da Silva CDA, Magno BLSP, Guarany LS, Andreaza GN, de Almeida DF; Revisão do Manuscrito quanto ao conteúdo intelectual importante: da Silva CDA, Magno BLSP, Guarany LS, Andreaza GN, de Almeida DF, Moreira APF; Silva LM, Fernandes PC.
Referências
1. Bayat M, Shojaeian F, Mousavi Kiasary SMS, Sayyah S. Epidemiology and causes of acute respiratory distress in children: a retrospective study at a tertiary hospital in Tehran. Ann Med Surg (Lond). 2025 Mar 19;87(4):1924-1929. doi: 10.1097/MS9.0000000000003178.
2. Matsuno AK. Insuficiência respiratória aguda na criança. Medicina (Ribeirão Preto). 2012 Jun 30;45(2):168–84. Available from: https://doi.org/10.11606/issn.2176-7262.v45i2p168-184.
3. Quirino ALS, Costa KT da S, Ferreira AGL, Melo EBB de, Andrade FB de. Internações na infância por doenças do aparelho respiratório no brasil de 2013 a 2022. Rev Ciênc Plural [Internet]. 2024 Apr 29 [cited 2025 Jun 15];10(1):1-15. Available from: https://periodicos.ufrn.br/rcp/article/view/31414.
4. Martinón-Torres F. Noninvasive ventilation with helium-oxygen in children. J Crit Care. 2012 Apr;27(2):220.e1–9. doi:10.1016/j.jcrc.2011.05.029.
5. Chowdhury MM, Reus E, Brown MK, Habibi P. Heliox and ventilatory support: What does it mean for the future of infant care? Infant [Internet]. 2006 [cited 2025 Jun 15];2(5): 194-03. Available from: https://www.infantjournal.co.uk/pdf/inf_011_iae.pdf.
6. Martinón-Torres F, Crespo Suárez PA, Silvia Barbàra C, Castelló Muñoz A, Rodríguez Núñez A, Martinón Sánchez JM. Ventilación no invasiva con heliox en un lactante con síndrome de dificultad respiratoria aguda [Noninvasive ventilation with heliox in an infant with acute respiratory distress syndrome]. An Pediatr (Barc). 2005 Jan;62(1):64-7. Spanish. doi: 10.1157/13070183. PMID: 15642243.
7. Hess DR, Fink JB, Venkataraman ST, Kim IK, Myers TR, Tano BD. The history and physics of heliox. Respir Care [Internet]. 2006 Jun [cited 2025 Jun 15];51(6):608–12. Available from: https://pubmed.ncbi.nlm.nih.gov/16723037/.
8. Hurford WE, Cheifetz IM. Respiratory controversies in the critical care setting. Should heliox be used for mechanically ventilated patients? Respir Care [Internet]. 2007 May [cited 2025 Jun 15];52(5):582–91. Available from: https://pubmed.ncbi.nlm.nih.gov/17484790/.
9. Myers TR. Use of heliox in children. Respir Care. 2006 Jun [cited 2025 Jun 15];51(6):619–31. Available from: https://pubmed.ncbi.nlm.nih.gov/16723039/.
10. Venkataraman ST. Heliox during mechanical ventilation. Respir Care [Internet]. 2006 Jun [cited 2025 Jun 15];51(6):632–9. Available from: https://pubmed.ncbi.nlm.nih.gov/16723040/.
11. Cambonie G, Milési C, Fournier-Favre S, Counil F, Jaber S, Picaud JC, et al. Clinical effects of heliox administration for acute bronchiolitis in young infants. Chest. 2006 Mar;129(3):676-82. doi: 10.1378/chest.129.3.676.
12. Nascimento MS, Santos É, do Prado C. Mistura hélio-oxigênio: aplicabilidade clínica em unidade de terapia intensiva. Einstein (São Paulo). 2018 Oct 30;16(4):eAO4199. doi:10.31744/einstein_journal/2018AO4199.
13. Silva CDA, Magno BLSP, Rosa MS. Heliox associado à ventilação mecânica em pediatria. In: Associação brasileira de fisioterapia em terapia intensiva; Martins JA, Aquino ES, Carvalho MGS, organizadores. PROFISIO programa de atualização em fisioterapia pediátrica e neonatal: Cardiorrespiratória e terapia intensiva: Ciclo 14. Porto Alegre: Artmed Panamericana; 2025 [cited 2025 Jul 15].p.9-35. (Sistema de educação continuada a distância, v. 1). Available from: https://portal.secad.artmed.com.br/artigo/heliox-associado-a-ventilacao-mecanica-em-pediatria.
14. Martinón-Torres F, Rodríguez-Núñez A, Martinón-Sánchez JM. Nasal continuous positive airway pressure with heliox versus air oxygen in infants with acute bronchiolitis: a crossover study. Pediatrics. 2008 May;121(5):e1190–5. doi:10.1542/peds.2007-1840.
15. Li X, Shen J, Zhao J, Tang S, Shi Y. Nasal intermittent positive pressure ventilation with heliox in premature infants with respiratory distress syndrome: a randomized controlled trial. Indian Pediatr. 2014 Nov;51(11):900–2. doi:10.1007/s13312-014-0524-7.
16. Mayordomo-Colunga J, Medina A, Rey C, Concha A, Los Arcos M, Menéndez S. Helmet-delivered continuous positive airway pressure with heliox in respiratory syncytial virus bronchiolitis. Acta Paediatr. 2010 Feb;99(2):308–11. doi:10.1111/j.1651-2227.2009.01529.x.
17. Núñez A, Sánchez JM, Torres F. Gases medicinales: oxígeno y heliox. An Pediatr (Barc) [Internet]. [cited 2025 May 14]. Available from: https://www.analesdepediatria.org/es-pdf-S1695403303781521.